Therapeutic and Orthodontic dental treatment
Orthodontic treatment is necessary both for aesthetic purposes and to improve function. The bite problems can be divided into the ones, related to the dental arch, such as crowding, excess space or spacing. And those associated with bite, such as open bite, increased or negative overbite, crossbite or scissor bite.
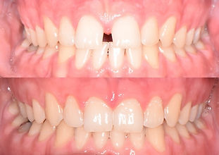
Orthodontics is one way to a beautiful smile, both for children and adults, including also those patients, who have lost one or more teeth in the oral cavity and plan to do prosthetics afterwards.
Prior to orthodontic treatment, the orthodontist analyzes the bite, makes dental casts, performs intraoral and extraoral photographs, and, if necessary, intraoral scans. And finds an individual solution for the patient to correct the bite and get the best aesthetic result.
What patients should know about orthodontic treatment
Braces gluing visit




A visit to the dentist for many is associated with an anxiety. Are the visits to the orthodontist similar?Anxiety comes from everything, what is new and unknown. However, if a person, who visits a doctor, a dentist or an orthodontist comes prepared, the anxiety is much less or even non-existent.The first visit to the orthodontist is always a consultation. Children under 18 years of age must be accompanied by a parent or a responsible person.
During the first visit, the patient expresses his/her wishes and expectations. The orthodontist collects the anamnesis, diagnostic records, explains options, approximate treatment duration and costs.
If the patient goes for the treatment with the fixed bracket system, in the next appointment they are placed. Prior to the bracket placement, oral cavity should be checked and all the carious defects repaired.During the brace bonding visit:Tooth enamel surfaces are isolated from the saliva (1), polished (with a brush and polishing paste), etched (2), brackets are bonded to the enamel (3,4) (the material of the brackets is already known upon arrival and is not changed during the treatment) and the material is illuminated (5).
Accuracy of bracket placement (bracket positioning) ensures a successful treatment outcome, therefore it is not advised to make any sharp movements during the bracket placement.The duration of the visit depends on whether the braces are bonded to one or both jaws, and whether any other appliance placement is required. On average, it takes an hour. After that the orthodontist places the archwire (6) in the braces and adjusts it (7) with special rubber or metal ligatures. In the case of self-ligating braces, a specific mechanism (small "doors") ensures the fixation of the archwire in the brackets. Hygiene recommendations are given to the patient and the next appointment in 1.5-3 months is made.In the next orthodontist appointments, the archwires are replaced, thus the average duration of the visit is much shorter – 15 to 20 minutes. (8)
VENTSPILS BRANCH
+371 29 456 701 | Lielā Dzirnavu street 18
VENTSPILS BRANCH
+371 67106636 | Lielā street 16
PĀRVENTAS BRANCH
+371 63 663 012 | Talsu street 31










